한 남성이 어릴 적 잃어버렸던 장난감 블럭을 40년 만에 되찾았다. 놀랍게도 그가 장난감을 발견한 곳은 바로 자신의 몸 속이었다.
25일(현지시간) 영국 데일리메일에 따르면, 한 영국 남성(47)은 목에서 노란색 점액이 나오고, 1년 넘게 몸이 안좋아 의사들을 찾았다고 한다.
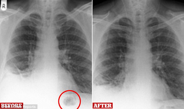
엑스레이 정밀검사 결과, 그의 페에 거대한 덩어리가 나타났고, 전문의는 남성이 30년째 흡연을 해왔음을 근거로 폐암 혹은 기관지암의 증상일 수 있다고 추정했다.
그러나 그의 기도를 검사하는 동안 의료진들은 그 큰 덩어리의 정체가 종양이 아닌, 남성이 7살 때 삼킨 블록 장난감의 일부라는 사실을 발견했다.
의사들은 ‘영국의학저널 사례보고’(BMJ Case Reports)를 통해 “긴 시간이 지났음에도 남성은 어떤 증상도 보이지 않았다. 40년 동안 기관지의 이물을 못보고 지나친 건 이번이 처음이다”라고 밝혔다.
남성은 “자라면서 생일 선물로 특정 플레이모빌 세트를 받은 걸 기억한다. 자주 가지고 놀았고 실수로 삼키기도 했었던 것 같다”며 “작은 원뿔모양의 장난감을 없애고 4개월이 지나니 증상이 완화됐다”고 말했다.
전문가들은 오랫동안 징후를 보이지 않다가 나이가 들면서 기도를 막아 강한 영향을 준 것 같다고 설명했다.
안정은 기자 netineri@seoul.co.kr
Copyright ⓒ 서울신문 All rights reserved. 무단 전재-재배포, AI 학습 및 활용 금지














































