화제의 주인공은 후난성 용저우시에 사는 리화 씨(46). 그는 지난 20여년간 허리가 굽어 있어 세상을 바로 볼 수 없었다.
18세 때였던 1991년부터 다리가 아프기 시작했다는 리 씨는 당시 단지 걸을 때만 절뚝거릴 뿐, 별다른 이상이 없어 큰 병원에 갈 생각을 하지 못했다. 집안 형편이 너무 안 좋았기 때문이다.
하지만 리 씨는 시간이 지날수록 몸 여기저기가 계속해서 아프고 허리가 점차 굽어 펴지지 않자 병원을 찾아갔고, 그때서야 자신에게 강직성 척추염이 있다는 사실을 알 수 있었다. 이 염증은 아직 정확한 원인이 확인되지 않았지만, 특정 유전자와 깊은 관계가 있는 희소 관절염이다. 주로 허리와 엉덩이, 말초 관절, 발꿈치, 발바다, 앞가슴뼈의 통증과 이밖에 관절 외 증상 등이 나타나며, 리 씨처럼 척추후만증으로 불리는 척추 변형이 나타나기도 한다.
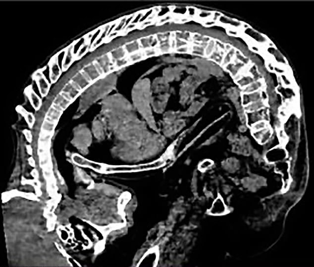
심지어 리 씨는 지난 5년 사이 증상이 매우 나빠져 자기 얼굴이 허벅지에 맞닿을 만큼 허리가 180도에 가깝게 구부러지고 말았다. 이 때문에 일어섰을 때 키가 90㎝밖에 되지 않았다는 것.
급기야 그는 직접 만든 지팡이에 의지한 채 인근 청두시의 병원들을 전전했지만, 만난 의사들은 모두 그에게 척추 변형이 너무 심해 죽을 위험이 크다며 수술을 거부했다.
결국 그는 예전처럼 이미 칠순이 넘은 노모에게 의지한 채 하루하루를 힘겹게 살 수밖에 없었다. 그러던 어느날 그는 비슷한 질환을 앓는 환자들 사이에서 공유한 한 척추측만 환자의 수술 전후 모습을 비교한 사진 한 장을 보고 나서야 다시 희망을 가질 수 있었다.
그는 사진과 함께 공개된 정보을 보고 선전대 종합병원의 척추골병과 주임 타오후이런 교수에게 연락했다. 그러자 타오 교수는 리 씨의 사연을 듣고 병원으로 오라고 말했다. 그리하여 리 씨는 노모와 함께 해당 병원을 찾아갔고, 타오 교수는 놀라지 않을 수 없었다. 지금까지 여러 환자를 수술해온 그 역시 리 씨처럼 심각한 상태를 본 적이 없었기 때문이다. 게다가 정밀 검사 결과는 더욱더 심각했다. 리 씨의 아래 턱은 흉골, 가슴뼈는 치골, 얼굴은 주골에 밀착돼 있었는 데 이를 본 타오 교수는 3개소가 접힌 사람이라고 묘사했다.
이에 대해 타오 교수는 “리 씨의 위험은 일반 환자의 20~30배였으며 하반신이 마비될 확률도 높았다. 그렇지만 이대로 그의 수술을 포기해 심장과 폐에 걸린 압력을 낮추지 못하면 생명에 큰 위협이 될 수도 있었다”면서 “다른 환자들은 여전히 머리를 들 수 있었지만, 그는 그럴 수조차도 없는 상황이었다”고 설명했다.
이 때문에 타오 교수는 리 씨의 수술을 하기로 했고, 지난 6월 13일부터 12월 13일까지 리 씨는 네 차례의 고위험, 고난도 수술과 한 차례의 마라톤식 응급 치료를 받았고, 마침내 똑바로 서서 세상을 바로 볼 수 있게 됐다.
이후 병원 측이 공개한 영상에는 리 씨의 전신이 똑바로 펴져 반듯하게 누울 수 있고 일어나 앉으며 심지어 똑바로 서 있는 모습도 담겼다.
현지 그는 간병인의 도움을 받아야만 걸을 수 있지만, 물리 치료를 잘 받으면 앞으로 2~3개월 안에도 걸을 수 있다고 타오 교수는 설명했다. 이어 물론 환자는 권투나 테니스 같이 극단적인 운동을 할 수는 없겠지만, 규칙적인 모든 운동을 하는 데 문제는 없을 것이라고 덧붙였다.
병원 측은 리 씨의 사례를 에베레스트 등정에 버금가는 수술로 묘사하며 이렇게 심각한 척추 변형 환자를 교정한 수술 사례는 이번이 처음이라고 밝혔다.
사진=중국 선전대 종합병원
윤태희 기자 th20022@seoul.co.kr
Copyright ⓒ 서울신문 All rights reserved. 무단 전재-재배포, AI 학습 및 활용 금지
















































