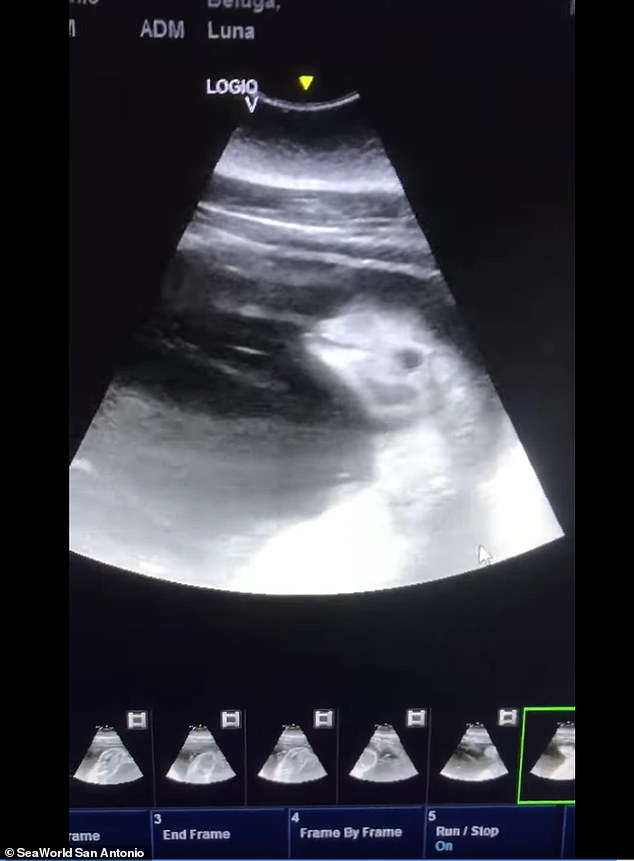
KSAT 등 현지매체 보도에 따르면, 텍사스주(州) 관광명소 ‘시월드 샌안토니오 지점’은 지난 11일(현지시간) 페이스북을 통해 암컷 벨루가 루나(Luna)의 배 속 태아를 촬영한 초음파 영상을 공개했다.
영상은 태아 상태의 새끼 벨루가가 움직일 때마다 그 머리와 눈 그리고 상반신 일부가 나타나는 모습을 담고 있다.
이에 대해 공원 측은 “어미는 ‘허즈번드리 트레이닝’(husbandry training)으로 불리는 특수 훈련을 받은 덕분에 수의팀이 검사하는 동안 가만히 있을 수 있어 초음파 영상을 기록할 수 있었다”고 설명했다. 허즈번드리 트레이닝은 동물원 등에서 멸종 위기에 처한 동물 등을 보존하기 위한 노력의 일부분으로 행하는 훈련 방법을 말한다.
공원 측은 또 “우리는 루나의 임신 소식을 공유하게 돼 매우 기쁘고 앞으로 새끼 벨루가를 시월드 가족으로 맞이할 날을 기대하며 어미를 24시간 내내 보살필 계획”이라고 밝혔다. 초음파 영상 속 새끼 벨루가는 오는 가을쯤 태어날 예정이다.
현재 20세인 어미 루나는 이 공원 태생으로 지금까지 새끼 세 마리를 낳았다. 지난 2010년 태어난 첫째 애틀라(Atla)는 인공수정으로 잉태된 최초의 벨루가들 중 한 마리로 유명하지만, 루나가 양육을 거부하는 바람에 사육사들 손에 의해 키워질 수밖에 없었다.
반면 3년 뒤 두 번째로 태어난 샘슨(Samson)과 2016년 마지막으로 태어난 케나이(Kenai)는 루나가 직접 키웠다. 벨루가는 최대 수명 약 50세로, 몸길이는 최대 5.5m, 몸무게는 최대 1.6t까지 나갈 수 있다. 암컷은 보통 3년마다 새끼 한 마리를 낳으며 임신 기간은 최소 14개월부터 최대 16개월까지다. 새끼는 태어났을 때 몸길이 1.5m, 몸무게 80㎏에 달하며 그 즉시 어미와 함께 물 속을 헤엄칠 수 있다. 그리고 불과 몇 시간 만에 어미의 젖을 먹기 시작하며 수유 기간은 1, 2년 동안 지속된다.
벨루가는 태어났을 때 회색빛을 띄지만 성장함에 따라 점차 하얗게 변한다. 주로 북극해에서 살며 여름철에는 먹이를 구하기 위해 따뜻한 남쪽 해역으로 이동하기도 한다.
벨루가는 특유의 친절함과 귀여운 외모로 전 세계 여러 나라에서 사육하고 있다. 이들은 사냥과 해양 오염 그리고 전염병 노출에 대한 위협을 받고 있긴 하지만 전 세계 개체 수는 약 20만 마리로 추정된다.
윤태희 기자 th20022@seoul.co.kr
Copyright ⓒ 서울신문 All rights reserved. 무단 전재-재배포, AI 학습 및 활용 금지
















































