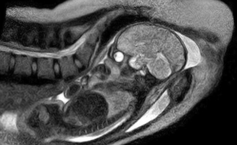
베를린대 부속 자선병원(Charite hospital)의 산부인과 전문의인 에르스트 베인더는 자궁속에서 움직이는 태아의 모습을 MRI(자기공명영상)로 촬영하고 이를 공개했다.
베인더 박사는 출산을 앞둔 산모 여러 명에게 자원 촬영을 권했고 이중 출산이 임박한 산모에게 동의를 구한 뒤 MRI 촬영을 시도했다.
이번 실험에서는 특별한 촬영을 위해 둥근 원통형의 MRI촬영기기 대신 특별하게 ‘뚜껑이 없는’ 오픈형 MRI 기기가 사용됐다.
산모에게 미치는 미세한 충격도 피하기 위해 귀마개를 착용하게 했고, 태아가 자리잡은 복부에는 얇은 막을 씌워 태아가 전자파를 듣고 놀라지 않도록 조치했다.
베이더 박사는 “이전에는 이론으로만 접했던 많은 정보들을 이번 사진을 통해 자세히 알게 됐다.”면서 “이 이미지는 세상의 모든 탄생이 매우 기적적이라는 것을 다시한번 증명한다.”고 덧붙였다.
이어 탄생 직전 태아의 MRI촬영을 통해 태어나기 전 앓을 수 있는 질병 또는 합병증의 진행 과정을 알 수 있고, 산모의 선택에 따라 더욱 안전하고 시기 적절한 제왕절개 시술을 유도할 수 있을 것이라고 기대했다.
서울신문 나우뉴스 송혜민기자 huimin0217@seoul.co.kr
Copyright ⓒ 서울신문 All rights reserved. 무단 전재-재배포, AI 학습 및 활용 금지












































